ألم في البول والجانب الأيسر مع حرارة فهل انا مريضه كورونا

استشارة طبية رقم 12062
زائر
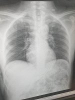
اشعر منذ ٦ ايام بألم شديد في البول و بعد ذلك ألم في الجانب الأيسر و منذ ٤ ايام بدأت درجة حرارة جسمي ترتفع ال ٣٨ و حتي الان مع العلم ان الألم في الجانب الأيسر، أمس ابنتي الصغيرة شعرت بارتفاع في درجة الحرارة و صداع أخذها إلي الطبيب قاله أنها مريضة لكورونا الدرجة الرابعة .. فذهبت انا إلي المستشفى لأني احسست اني انا الاخره مريضة كورونا ، فاقمت بعمل تحليل دم كامل و صورة للأشعة أبلغني الطبيب أنه لا يري شي غير طبيعي مرفق لكم التحليل الدم الكامل و للأشعة
 
بيانات الاستشارة
الجنس
أنثى
العمر
36
الطول
164
الوزن
70
أمراض مزمنة
لا
أدوية مستخدمة
لا

المرفقات

  • IMG-20200911-WA0000.jpg
    IMG-20200911-WA0000.jpg
    66.2 KB · المشاهدات: 232
  • IMG-20200911-WA0001.jpg
    IMG-20200911-WA0001.jpg
    144.7 KB · المشاهدات: 216
التعديل الأخير بواسطة المشرف:
إجابة الطاقم الطبي

Dr. Mohammed Al-Frras

اختصاصي بامراض وجراحة الاوعية الدموية
التحاليل ضمن الطبيعي ولا يوجد مايشير لكورونا وقد تكون الاعراض لديك ناتجة عن انتان بولي او حصيات بولية لذا يفضل اجراء تحاليل للبول مع ايكو للجهاز البولي

ولكن كونك مخالطة لحالة كورونا يفضل اجراء حجر منزلي وعدم المخالطة ومراقبة الحرارة والاكثار من السوائل
 
إجابة الطاقم الطبي

Dr. Rasha Gamal Eldin

أخصائي جلدية وتناسلية وتجميل وتغذية علاجية
التحاليل ف الرنج الطبيعي
لو مخالطة لحالة يجب اخد الحذر و الفيتامينات والأدوية المصري بها للحماية
الام البول والجنوب بيكون غالبا ميكروب ف مجري البول أو حصوات يجب شرب ماء بكثرة وعمل سونار ع الكلي وتحليل للبول
 
عودة
أعلى