أشكو من ألم في الجهة اليسرى من الفك العلوي ينحصر في منطقة جناح الأنف الى منتصف الخد. طبيب الأسنان لم يستطع تشخيص الألم ووصف لي مضاد التهاب كلاموكس...

استشارة طبية رقم 38072
زائر
أشكو من ألم في الجهة اليسرى من الفك العلوي ينحصر في منطقة جناح الأنف الى منتصف الخد. طبيب الأسنان لم يستطع تشخيص الألم ووصف لي مضاد التهاب كلاموكس 1 ملغ لمدة 3 ايام وقال ان لم يذهب الألم فهو يشك في الضرس العلوي الذي تم حشوه مؤخراً.

أيضاً لدي الضرس السٌفلي من نفس الجهة قام الطبيب بحشوه منذ فترة وسحب عصبه ولكن الأن اشعر بألم خفيف عند الضغط او الطرق عليه.

أرجوا الشتخيص والنصيحة وجزاكم الله كل خير.
 
بيانات الاستشارة
الجنس
ذكر
الحالة الاجتماعية
غير متزوج
العمر
30
الطول
184
الوزن
92
طبيعة العمل
مكتبي
الحالة النفسية
عادي
أمراض مزمنة
لايوجد
أدوية مستخدمة
كلاموكس 1 ملغ
تشخيص طبيبك
لم يستطع وقال انه يشك بالضرس في الفك العلوي الذي تم حشوه مؤخراً وصرف لي مضاد التهاب لمدة 3 ايام وقال من بعدها ان لم يذهب الألم راجعه.

المرفقات

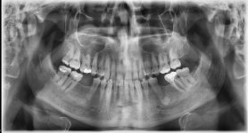
  • 39cd1135-ecd9-4e0a-8db3-1b3f565b1568.jpg
    39cd1135-ecd9-4e0a-8db3-1b3f565b1568.jpg
    383 KB · المشاهدات: 254
إجابة الطاقم الطبي

Dr.Esraa Abdelkareem

طبيب باطنة
السلام عليكم،

أشكو من ألم في الجهة اليسرى من الفك العلوي ينحصر في منطقة جناح الأنف الى منتصف الخد. طبيب الأسنان لم يستطع تشخيص الألم ووصف لي مضاد التهاب كلاموكس 1 ملغ لمدة 3 ايام وقال ان لم يذهب الألم فهو يشك في الضرس العلوي الذي تم حشوه مؤخراً.

أيضاً لدي الضرس السٌفلي من نفس الجهة قام الطبيب بحشوه منذ فترة وسحب عصبه ولكن الأن اشعر بألم خفيف عند الضغط او الطرق عليه.

أرجوا الشتخيص والنصيحة وجزاكم الله كل خير.
أهلاً بك
قد يكون بالفعل المشكلة في الضرس الذي تم حشوه ، لذا لم يختفي الألم يجب فحص الضرس مرة أخرى. من الضروري عمل فحص للتوصل لتشخيص صحيح . نتمنى لكم السلامة والعافية.
 
هل لديك استشارة طبية؟
اسأل طبيب مجاناً
عودة
أعلى